Follow us on:

instagram instagram face book face book Whatsapp Whatsapp

At the Beresford Clinic, we believe every smile should inspire confidence. Our goal is to create natural, beautiful smiles that leave you feeling your best. Whether you want a small improvement or a total transformation, we are here to help you every step of the way.

Explore right white plain arrow right colossus plain arrow

Composite Bonding

Seeing is believing

Improve your smile in just one appointment

Explore right white plain arrow right colossus plain arrow
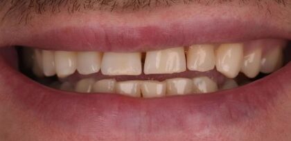
The Beresford Clinic Composite Bonding
bonding sound wave white circle thumb

Before

After

The Beresford Clinic Teeth Straightening

Teeth Straightening

Invisalign®

Choose Invisalign® for a comfortable teeth-straightening experience

 Invisalign® Icon Invisalign® Hover Icon

Clear & removable braces

 Invisalign® Icon Invisalign® Hover Icon

Platinum Invisalign provider

 Invisalign® Icon Invisalign® Hover Icon

Interest-free finance available

 Invisalign® Icon Invisalign® Hover Icon

Clear & removable braces

 Invisalign® Icon Invisalign® Hover Icon

Platinum Invisalign provider

 Invisalign® Icon Invisalign® Hover Icon

Interest-free finance available

Explore right white plain arrow right colossus plain arrow
The Beresford Clinic Teeth Image
straightening sound wave white circle thumb
Before
After

Treatments

Gentle dental care

General Dentistry

Cosmetic Dentistry

Dental Implants

General Dentistry

Cosmetic Dentistry

Dental Implants

View our treatments right white plain arrow right colossus plain arrow Book a free consultation right white plain arrow right cosmetic red plain arrow

testimonials

What our patients say

star colossus plain icon

“I've been a patient at The Beresford Clinic for more than 2 years. I absolutely recommend Doctor Beresford, he is such an amazing experienced professional....”

Sandra Reis

Explore right white plain arrow right colossus plain arrow
star colossus plain icon

“I've been a patient at The Beresford Clinic for more than 2 years. I absolutely recommend Doctor Beresford, he is such an amazing experienced professional....”

Sandra Reis

Explore right white plain arrow right colossus plain arrow
star colossus plain icon

“I've been a patient at The Beresford Clinic for more than 2 years. I absolutely recommend Doctor Beresford, he is such an amazing experienced professional....”

Sandra Reis

Explore right white plain arrow right colossus plain arrow
star colossus plain icon

“I've been a patient at The Beresford Clinic for more than 2 years. I absolutely recommend Doctor Beresford, he is such an amazing experienced professional....”

Sandra Reis

Explore right white plain arrow right colossus plain arrow
star colossus plain icon

“I've been a patient at The Beresford Clinic for more than 2 years. I absolutely recommend Doctor Beresford, he is such an amazing experienced professional....”

Sandra Reis

Explore right white plain arrow right colossus plain arrow
star colossus plain icon

“I've been a patient at The Beresford Clinic for more than 2 years. I absolutely recommend Doctor Beresford, he is such an amazing experienced professional....”

Sandra Reis

Explore right white plain arrow right colossus plain arrow
testimonials sound wave white circle thumb
The Beresford Clinic
The Beresford Clinic

Book a free consultation

Take the first step toward a healthier smile. Schedule your free consultation with The Beresford Clinic!

book a free consultation right white plain arrow right cosmetic red plain arrow
Before - The Beresford Clinic

Before

After - The Beresford Clinic

After

Contact

Get in touch

opening hours

  • Monday to Friday 9am to 6pm
  • Saturday 9am to 2pm

social media

Follow us on Instagram

The Beresford Clinic
The Beresford Clinic
The Beresford Clinic
The Beresford Clinic
The Beresford Clinic
The Beresford Clinic
The Beresford Clinic
The Beresford Clinic
The Beresford Clinic
The Beresford Clinic
The Beresford Clinic
The Beresford Clinic

Our partners

Subscribe to our latest news

4.9
Google-review