Follow us on:

instagram instagram face book face book Whatsapp Whatsapp
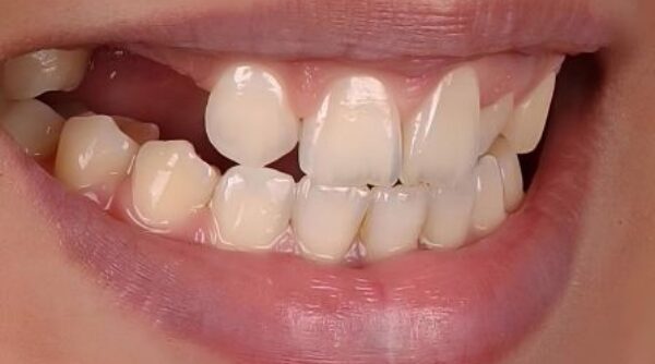
Before - The Beresford Clinic BEFORE
After -The Beresford Clinic AFTER

Case 1: Dental Implants

Would you like to achieve a similar result for your smile? Call us today at…

Explore right white plain arrow right colossus plain arrow
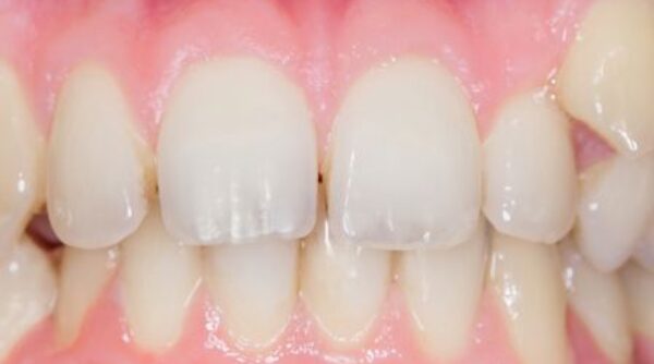
Before - The Beresford Clinic BEFORE
After -The Beresford Clinic AFTER

Case 3: Single Dental Implant & Teeth Whitening

Would you like to achieve a similar result for your smile? Call us today at…

Explore right white plain arrow right colossus plain arrow
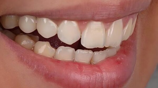
Before - The Beresford Clinic BEFORE
After -The Beresford Clinic AFTER

Case 2: Composite Bonding

Would you like to achieve a similar result for your smile? Call us today at…

Explore right white plain arrow right colossus plain arrow
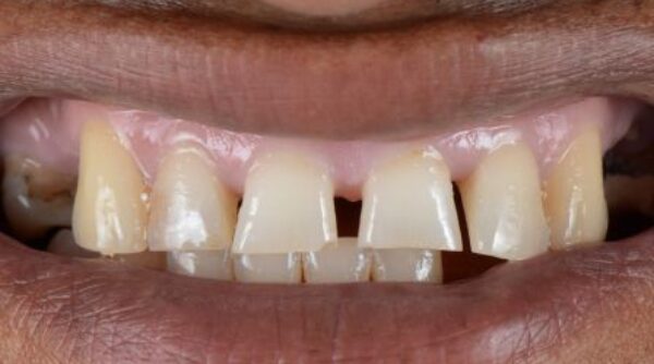
Before - The Beresford Clinic BEFORE
After -The Beresford Clinic AFTER

Case 4: Crowns

Would you like to achieve a similar result for your smile? Call us today at…

Explore right white plain arrow right colossus plain arrow
Before - The Beresford Clinic BEFORE
After -The Beresford Clinic AFTER

Case 5: Smile Makeover

Would you like to achieve a similar result for your smile? Call us today at…

Explore right white plain arrow right colossus plain arrow
Before - The Beresford Clinic BEFORE
After -The Beresford Clinic AFTER

Case 6: Teeth Straightening

Would you like to achieve a similar result for your smile? Call us today at…

Explore right white plain arrow right colossus plain arrow

Contact

Get in touch

opening hours

  • Monday to Friday 9am to 6pm
  • Saturday 9am to 2pm

Book a free consultation

Take the first step toward a healthier smile. Schedule your free consultation with The Beresford Clinic!

book a free consultation right white plain arrow right cosmetic red plain arrow
Before - The Beresford Clinic

Before

After - The Beresford Clinic

After

Treatments

Gentle dental care

General Dentistry

Cosmetic Dentistry

Dental Implants

General Dentistry

Cosmetic Dentistry

Dental Implants

View our treatments right white plain arrow right colossus plain arrow Book a free consultation right white plain arrow right cosmetic red plain arrow

social media

Follow us on Instagram

The Beresford Clinic
The Beresford Clinic
The Beresford Clinic
The Beresford Clinic
The Beresford Clinic
The Beresford Clinic
The Beresford Clinic
The Beresford Clinic
The Beresford Clinic
The Beresford Clinic
The Beresford Clinic
The Beresford Clinic

Our partners

Subscribe to our latest news

4.9
Google-review